yüzeyel ultrason fiyatları

Yüzeyel Ultrason

Gövde ve ekstremitede yumuşak doku kitleleri yaygındır ve çoğu iyi huyludur.

Bununla birlikte, yumuşak tümörler de dahil olmak üzere malign tümörleri hızlı bir şekilde tanımlamak çok önemlidir.

Doku sarkomları. Ultrason muayenesi, hızlı bir şekilde sonuç veren yararlı bir tarama testidir.

Kitleleri ilgili özelliklerle tanımlar ve bu konuda hızlı sonuç sağlar.

Doktorunuz, vücudunuzdaki ve çevresindeki yapılardaki yumuşak doku yumrularının görüntülerini yakalamak için yumuşak doku, kitle, için yüzeyel ultrasonu  sizden isteyebilir.

Bu muayene, yumrudaki doku tipini teşhis etmek için bu alanın başka bir teste ihtiyacı olup olmadığına doktorunuzun karar vermesine yardımcı olur.

Ultrason görüntüleme veya sonografi, invaziv olmayan bir prosedür olarak kabul edilir ve X-ışınlarında olan iyonlaştırıcı radyasyonu içermez. Ultrason taraması sadece organların yapısını ve farklı iç yapıları değerlendirmede faydalı olmakla kalmaz, aynı zamanda organların hareketini gerçek zamanlı olarak gösterebilir.

Yüzeyel ultrason  doktorunuza şu konularda bilgi sağlayabilir:

Yumuşak dokuda şişlik, kitlenin  sınıflandırması – boyut, konum, kireçlenme, kitlenin hareketliliği.

Doktorunuz bu bilgiyi takip testinin gerekli olup olmadığını belirlemek için kullanacaktır. Bazen doktorunuz tanıya yardımcı olması için yumuşak doku kitle ultrasonunu takiben biyopsi isteyecektir.

Yüzeyel ultrason neden yapılır ?

Birçok hasta, enfeksiyon, yaralanma ve anormal kitleler gibi yumuşak dokularla ilgili şikayetlerle acil servise gelir.

Geleneksel olarak, bu hastalarda görüntüleme çalışmaları gerektiğinde bilgisayarlı tomografi ve manyetik rezonans kullanılmıştır; bununla birlikte, ultrason genellikle daha kolay elde edilebilir ve bazı durumlarda tercih edilen görüntüleme çalışmasıdır. 

Yumuşak doku anormallikleri olan hastalarda yatak başı ultrasonun en yaygın kullanımı selülit, apse ve nekrotizan fasiit gibi enfeksiyonların değerlendirilmesidir. Diğer yumuşak doku endikasyonları arasında kistlerin ve lenf düğümlerinin değerlendirilmesi yer alır. Yabancı cisimleri bulmak için de ultrason kullanılır.

Apselerin çoğu insizyon ve drenaj ile tedavi edilse de, bazı durumlarda genellikle kozmetik nedeniyle iğne aspirasyonu ve antibiyotik tedavisi bir seçenek haline gelir. 

Ultrason, iğne aspirasyonu için dinamik gerçek zamanlı rehberlik sağlayarak başarı olasılığını artırır.

Yüzeyel  Ultrason İçin Nasıl Hazırlanmalıyım?

Özel bir hazırlık gerektirmez, aç yada tok olabilirsiniz.

Randevu günü  üzerinize  rahat bol kıyafetler tercih edin.

Şikayete yönelik yapılan yüzeyel ultrason, yumuşak doku yaralanması olan hastalar için yaşam kalitesini iyileştirme ve erken evre, invaziv olmayan, bir işlemdir. Ultrason enerjisi ışınlarını, çevreleyen normal dokuya zarar vermeden vücuttaki hedeflere hassas ve doğru bir şekilde odaklar.

Yüzeyel Ultrason Nasıl  Yapılır?

Sonografi olarak da bilinen ultrason görüntüleme , hem ses dalgalarını vücuda iletmek hem de geri yankılanan dalgaları kaydetmek için küçük bir prob kullanır. Ses dalgaları, sıvı , yumuşak doku  ve kemik gibi dokular arasındaki bir sınıra ulaşana kadar incelenen alana yayılır. Bu sınırlarda bazı ses dalgaları sondaya geri yansır, diğerleri ise başka bir sınıra ulaşana kadar ilerler ve geri yansıtılır. Ses dalgalarının hızı, yönü ve mesafesi, girdikleri sınıra bağlı olarak farklılık gösterdiğinden, bir bilgisayar bu bilgiyi ekranda iki boyutlu bir görüntü olarak yorumlayabilir.

Ağrı, şişlik veya diğer semptomları araştırmak istenebilir.

Ultrason, bir kist ve bir tümör arasında ayrım yaparak yumru bileşiminin belirlenmesine yardımcı olabilir. Kist, çoğunlukla iyi huylu olan sıvıyla dolu bir kesedir. Bir tümör, iyi huylu veya kötü huylu olabilen karmaşık bir doku alanıdır. Ultrason genellikle şekil, konum ve bir dizi diğer sonografik özelliklere göre iyi huylu ve kötü huylu tümörler arasında ayrım yapmaya yardımcı olabilir. Hem kistler hem de tümörler cildinizde, dokularınızda, organlarınızda ve kemiklerinizde bulunabilir.

Boynun yumuşak dokusunun ultrason muayenesi sırasında boyun ve deri altındaki kasların ele gelen nodülleri, yüzeyel lezyonları ve yapısal farklılıklarını inceleriz. Submandibular bezlerin ve parotis bezinin muayenesi, sialolithiasis, olası iltihaplar, iyi huylu ve kötü huylu tümörler de servikal ultrason yardımı ile tespit edilebilir.

Tükürük bezlerinin ve servikal lenf nodlarının gözlem ve muayenesi sırasında büyüklüklerini, yapılarını, damarlanmalarını, lezyonlarını ve çevreleriyle olan ilişkilerini izleriz.

Servikal yumuşak doku ultrasonu ne zaman önerilir?

Boynun yumuşak dokusunun ultrason muayenesi en sık servikal lenf nodları  ve ağrılı (iltihaplı) tükürük bezleri durumunda kullanılır.

Ayrıca bilinen bir hastalığı izlemek için, teşhis edilen kanser veya ameliyat için bir takip muayenesi olarak kullanılır.

Servikal ultrason genellikle tarama testleri sırasında ve sağlık kontrolü olarak yapılır.

Boynun diğer ultrason muayeneleri:

Tiroid bezinin hastalıkları, lezyonları ve yapısal anormallikleri, tiroid bezinin ultrason muayenesi ile izlenir. Vasküler kireçlenmeler, bunların neden olduğu damar darlıkları ve hipertansiyona bağlı servikal daralmalar karotis arterlerin ultrason muayenesi ile yapılır.

Faydaları ve riskleri nelerdir?

Faydalar

Ultrason görüntüleme son derece güvenlidir ve radyasyon kullanmaz.

Ultrason taraması, röntgen görüntülerinde iyi görünmeyen yumuşak dokuların net bir resmini verir.

Ultrason gerçek zamanlı görüntüleme sağlar. Bu, iğne biyopsileri  ve sıvı aspirasyonu  gibi minimal invaziv prosedürleri yönlendirmek için iyi bir araç haline getirir.

Riskler

Standart tanısal ultrasonun  insanlar üzerinde bilinen hiçbir zararlı etkisi yoktur.

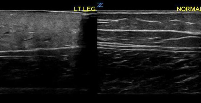
Yüzeyel Ultrasonda Normal Bulgular

Yatak başı ultrasonografi için tipik olarak kullanılan ekipmanla epidermis ve dermis ayırt edilemez. Birlikte ince, hiperekoik bir katman olarak görünürler. 

Subkutan tabaka ultrasonda hipoekoik görünür, iki bileşen vardır: hiperekoik yağ ile serpiştirilmiş hipoekoik lineer ekolar çoğunlukla cilde paralel, bağ dokusu septasını temsil eder.

Deri altı tabakasında damarlar ve sinirler görüntülenebilir.

Fasya lineer hiperekoik bir tabaka olarak görünür. Kalınlığı bulunduğu yere göre değişir. 

Kas fasikülleri, onları çevreleyen hiperekoik bağ dokusu (perimisyum) ile hipoekoik silindirik yapılar olarak görselleştirilebilir.

Kasın karakteristik bir özelliği, ultrasondaki görünümünün kasılma ile değişmesidir; büzüldüğünde, kısa eksenli düzlemlerde daha kalın ve daha yankılı görünür. 

Lenf düğümleri hipoekoiktir ve genellikle ovaldir. 

Yüzeyel Ultrasonda Başlıca Patolojik Bulgular

Selülit

Selülitin ultrason görüntüsü, evresine ve şiddetine bağlı olarak değişir.

İlk görünüm, deri ve deri altı dokularının genel şişmesi ve ekojenitesinin artması olabilir (

Selülit ilerledikçe ve deri altı sıvı miktarı arttıkça hiperekoik yağ lobülleri hipoekoik/yankısız sıvı dolu alanlarla ayrılır. Selülitin bu sonraki aşaması en tipik olanıdır ve parke taşı görünümüne sahip olarak tanımlanmıştır.

Sıvı dolu interlobar septaların görünümü selülit için spesifik değildir, bunun yerine konjestif kalp yetmezliği gibi durumlardan kaynaklanabilen genel subkutan ödemin göstergesidir. 9

Renkli Doppler, selülitin iltihaplanma özelliğinin mevcut olup olmadığını belirlemeye yardımcı olabilecek gelişmiş ultrason modaliteleridir. 

Nekrotizan Fasiit

Nekrotizan fasiit subkutan doku, fasya ve kası tutan, nadir görülen, şiddetli, hayatı tehdit eden bir enfeksiyondur.

Ultrasonda, deri altı doku ve kasın şişmesi ile birlikte bitişik hipoekoik sıvı toplanması ile kalınlaşmış fasya olarak görünür.

Küçük gaz odakları, arka akustik gölgeleme ile parlak ekojenik alanlar olarak görünür. 

Ultrason, katıyı kistik kitlelerden ayırmaya yardımcı olabilir. Ganglion kistleri, tendon kılıflarından ve eklemlerden kaynaklanan yaygın bir kistik kitledir. Jelatinli bir malzeme ile doldurulurlar. Ultrasonda yankısız görünürler ve posterior akustik güçlendirmeye neden olabilirler. Tendon kılıfından veya eklem aralığından kisti kökenine kadar takip etmek mümkün olabilir.

Lenf düğümleri

Normal ve reaktif lenf düğümleri aynı ultrason görünümüne sahiptir: hipoekoiktir, ekojenik hilus ile birlikte ve genellikle ovaldir. 

Malign lenf düğümleri genellikle hipoekoiktir, ekojenik bir hilus içermez ve yuvarlaktır.

Yabancı cisimler 

Ultrason, yaraların ve yabancı cisim içerebilecek diğer yumuşak dokuların değerlendirilmesinde faydalıdır. 

 

 

Yorum ekleyebilirsiniz