Ay: Aralık 2022

El Bilek MR

El Bilek MR taraması nedir? El bilek MR taraması, insan vücudundaki yapıların ve organların görüntülerini oluşturmak için son derece güçlü manyetik alan ve radyo dalgaları kullanan bir tıbbi araştırma …

El MR

El MR nedir? El  MR (manyetik rezonans görüntüleme)  , ekstremitenin görüntülerini oluşturmak için bir manyetik alan kullanır. Bu görüntüler kemiğin ve yumuşak dokuların sağlığını gösterecektir. Bu tarama, bağ ve …

Hepatobiliyer Ultrason

Hepatobiliyer ultrason nedir?  Hepatobiliyer ultrason, akut kolesistit, safra kanalı tıkanıklığı, safra kesesi ameliyatı komplikasyonlarını teşhis etmek veya bir karaciğer naklini takip etmektir.  Safra dilatasyonunu saptamak için en uygun testtir …

Kol MR

Kol MR çekimi nedir? Kol MR (manyetik rezonans görüntüleme) çekimi, üst ve alt kolun resimlerini oluşturmak için güçlü mıknatıslar kullanır. Bu, dirsek ve çevredeki kaslar ve diğer dokuları içerebilir. …

Maksillofasiyal BT

Maksillofasiyal BT nedir ?  Maksillofasiyal BT taraması, farklı açılardan alınan bir dizi X-ışınları ve bir bilgisayar kullanılarak iç organların, kemiklerin ve yumuşak dokuların kesitsel görüntülerini oluşturmak için kullanılan bir …

Pelvis MR Nedir ?

Pelvis MR nedir ? Pelvis MR (manyetik rezonans görüntüleme) taraması, kalça kemikleri arasındaki bölgenin görüntülerini oluşturmak için güçlü mıknatıslara ve radyo dalgalarına sahip bir makine kullanan bir görüntüleme testidir. …

Sakroiliak Eklem MR

Sakroiliak Eklem MR nedir ? Sakroiliak Eklem MR taraması; Omurga tabanıyla ilgili tıbbi durumların teşhis edilmesine yardımcı olan non-invaziv prosedürdür. Sakroiliak Eklem MR taraması için nasıl hazırlanmalıyım? Sakroiliak Eklem …

Sedimantasyon Testi

Sedimantasyon kan testi nedir? Sedimantasyon testinin temel amacı, vücuttaki anormal iltihaplanma seviyelerini tespit etmektir. Sedimantasyon ölçümü öncelikle farklı sağlık durumlarının teşhisi ve izlenmesi için kullanılır. Sedimantasyon ve Teşhis Hastanın …

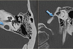
Temporal Kemik BT

Temporal Kemik BT nedir ?  Temporal Kemik BT, iç kulağı koruyan başın yan tarafında bulunan kemik yapıların kontrastsız bir çalışmasıdır. Ayrıca bölgeyi çevreleyen dokuya ve iç kulak yapısına da …

Üriner Sistem Ultrasonu

Üriner  Ultrason Nedir? Üriner  ultrason, böbreklerin, üreterlerin ve mesanenin görüntülerini oluşturmak için ses dalgalarını kullanır. Tarama sırasında bir ultrason makinesi böbrek bölgesine ses dalgaları gönderir ve görüntüler bir bilgisayara …